with flowcytometry, cytogenetic and molecular biology findings
Novartis IBA FM MU

Systemic mastocytosis

BM HE (400×)

Focal infiltration of bone marrow with fibrosis. The tumour cells with abundant pale cytoplasm are rather inconspicuous in haematoxylin and eosin stain. There is an admixture of small lymphocytes and a large number of eosinophils, which may sometimes dominate and mask the tumour.

Bone marrow trephine biopsy, haematoxylin and eosin stain.

BM Giemsa stain (400×)

Compared to reactive mast cells rich in metachromatic granules, neoplastic mast cells can be hypogranular or even practically agranular.

Bone marrow trephine biopsy, Giemsa stain.

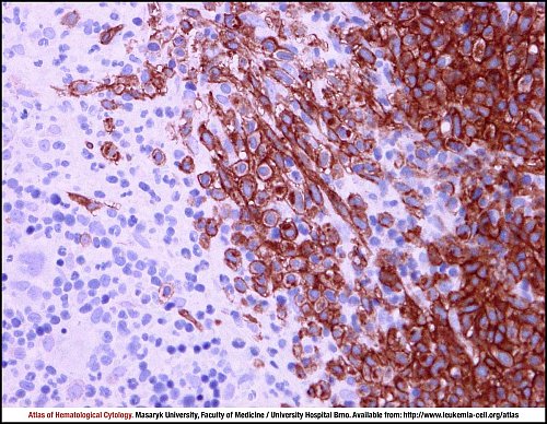
BM IHC (400×)

Tumour cells show strong membrane positivity for CD117 (c-KIT). The proof of aggregates of 15 or more mast cells is a major criterion for the diagnosis of systemic mastocytosis.

Bone marrow trephine biopsy, immunohistochemistry.

Atlas of Haematological Cytology [online]. 2016 [cit. 2025-12-16]. Available from WWW: http://www.leukemia-cell.org/atlas.

2025 CELL - Atlas of Haematological Cytology | site map