with flowcytometry, cytogenetic and molecular biology findings
Novartis IBA FM MU

B-cell prolymphocytic leukaemia

PB MGG (500×)

Marked leucocytosis – usually above 100x109/L – is present in the peripheral blood in B-cell prolymphocytic leukaemia. This high leucocyte count is due to the presence of pathological lymphoid cells, the so-called prolymphocytes. Prolymphocytes must account for more than 55% of lymphoid cells in the peripheral blood. Only one lymphocyte (green arrow) is present in this picture.

BM MGG (500×)

Bone marrow is infiltrated by prolymphocytes, which represent more than 55% of lymphoid cells but also 90% of the all nucleated cells. These prolymphocytes can also occur as smudge cells (green arrow) but their number is significantly lower than in cases of chronic lymphocytic leukaemia.

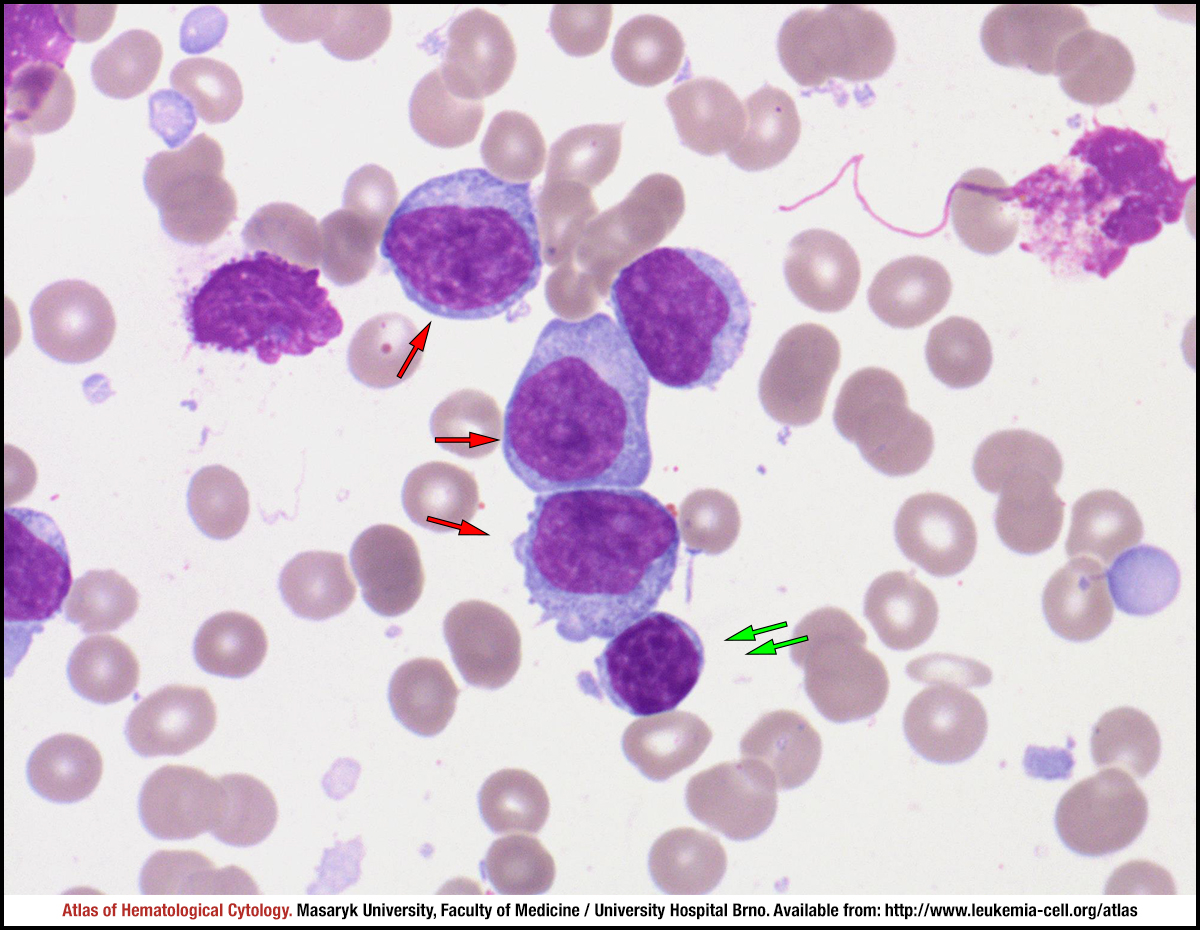
BM MGG (1000×)

Prolymphocytes (red arrows) are tumour cells in B-cell prolymphocytic leukaemia. The cells are medium to large, twice the size of small lymphocytes (green arrows), with a moderately condensed nuclear chromatin and prominent vesicular nucleoli. The nuclear outline is usually regular and the cytoplasm is weakly basophilic.

BM MGG (1000×)

Leukaemic cells are less homogenous than those in CLL. They vary in size: larger cells have moderately abundant, weakly basophilic cytoplasm and a round nucleus containing a prominent nucleolus (red arrow), whereas smaller cells tend to have a somewhat higher nuclear-cytoplasmic ratio and their nucleolus is less prominent (green arrow).

BM MGG (1000×)

Another example of prolymphocytes (red arrows) – tumour cells in B-cell prolyphocytic leukaemia. The bone marrow smear shows cells with relatively plentiful, faintly basophilic cytoplasm, a round nucleus with moderately condensed chromatin, and a single prominent nucleolus.

PB flow cytometry

The analysis of peripheral blood shows a population of B-PLL cells (purple), T lymphocytes (blue), all lymphocytes (green), monocytes (yellow) and granulocytes (red). The population of B-PLL cells expresses CD45 and low SS when compared to normally mature B cells (A); other characteristics involve a positive expression of CD19, CD79b, CD20, a negative expression of CD10 and a clonal expression of the light chain kappa or lambda (B–D); furthermore, histograms show a negative expression of CD23, a positive expression of FMC7 and CD200 and an aberrant positive expression of CD13 (E).

Atlas of Haematological Cytology [online]. 2016 [cit. 2025-12-18]. Available from WWW: http://www.leukemia-cell.org/atlas.

2025 CELL - Atlas of Haematological Cytology | site map