with flowcytometry, cytogenetic and molecular biology findings
Novartis IBA FM MU

Diffuse large B-cell lymphoma (DLBCL), not otherwise specified – anaplastic morphological variant

BM MGG (1000×)

This variant is characterised by large to very large round, oval to polygonal cells with bizarre pleomorphic nuclei. These tumour cells, at least in part, may resemble Hodgkin and/or Reed-Sternberg cells and may also resemble tumour cells of T-lineage anaplastic large cell lymphoma. A precise cytological differentiation is impossible.

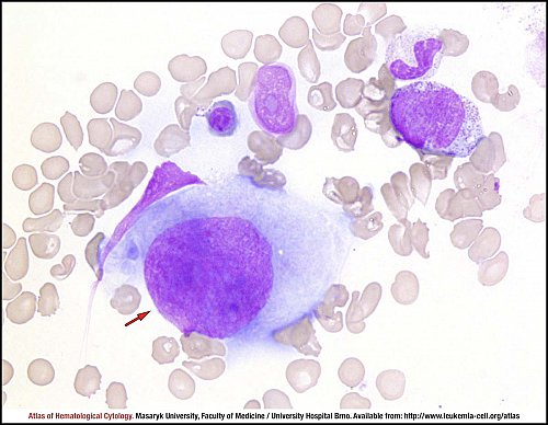
BM MGG (1000×)

This picture shows another example of tumour cell (red arrow) in the anaplastic morphological variant of DLBCL. The giant cell has an appearance of blast with a large nucleus containing numerous nucleoli, fine chromatin pattern, high nuclear-cytoplasmic ratio and a moderately basophilic non-granular cytoplasm.

Atlas of Haematological Cytology [online]. 2016 [cit. 2026-4-11]. Available from WWW: http://www.leukemia-cell.org/atlas.

2026 CELL - Atlas of Haematological Cytology | site map