with flowcytometry, cytogenetic and molecular biology findings
Novartis IBA FM MU

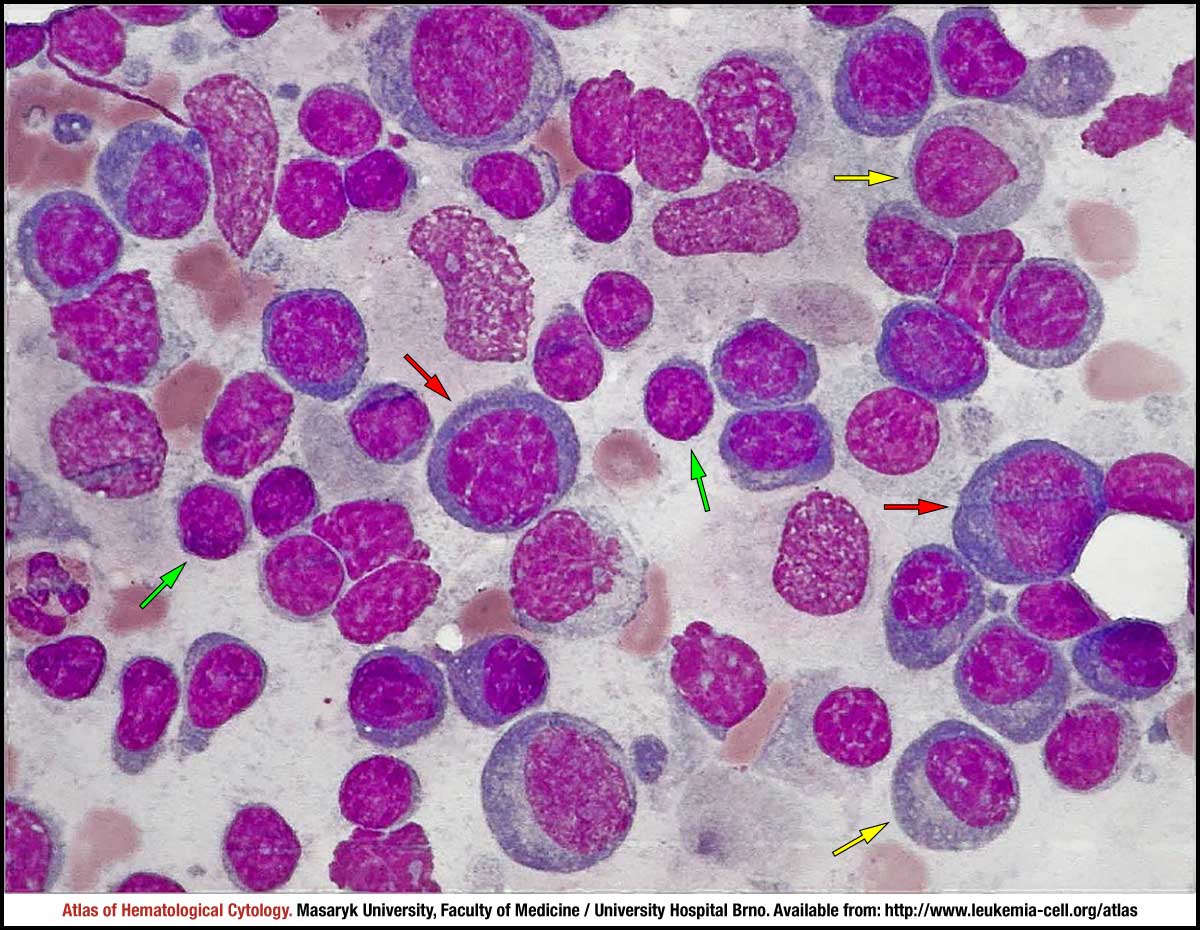
Lymphoplasmacytic lymphoma

Lymph node, MGG (1000×)

This imprint of lymph node shows an infiltration by lymphoplasmacytic lymphoma. The tumour cells comprise a variable mixture of small lymphocytes with a high nuclear-cytoplasmic ratio, condensed nuclear chromatin and inconspicuous nucleoli (green arrow), medium-sized to large plasmacytoid lymphocytes characterised by an eccentric location of the nucleus, abundant darkly basophilic cytoplasm (yellow arrow) and plasma cells (red arrow).

Atlas of Haematological Cytology [online]. 2016 [cit. 2025-12-19]. Available from WWW: http://www.leukemia-cell.org/atlas.

2025 CELL - Atlas of Haematological Cytology | site map