with flowcytometry, cytogenetic and molecular biology findings
Novartis IBA FM MU

Myelodysplastic syndrome with excess blasts (MDS-EB-1)

PB MGG (1000×)

Peripheral blood smear: one myeloblast (red arrow) and one metamyelocyte (yellow arrow) indicate a left shift and the presence of excess blasts.

BM MGG (200×)

Marrow aspirate smear with an adequate cellularity and an almost proportional representation of haematopoietic cells. A megakaryocyte of a normal size and with a normally lobulated nucleus (cyan arrow) is shown in the upper middle part of the slide.

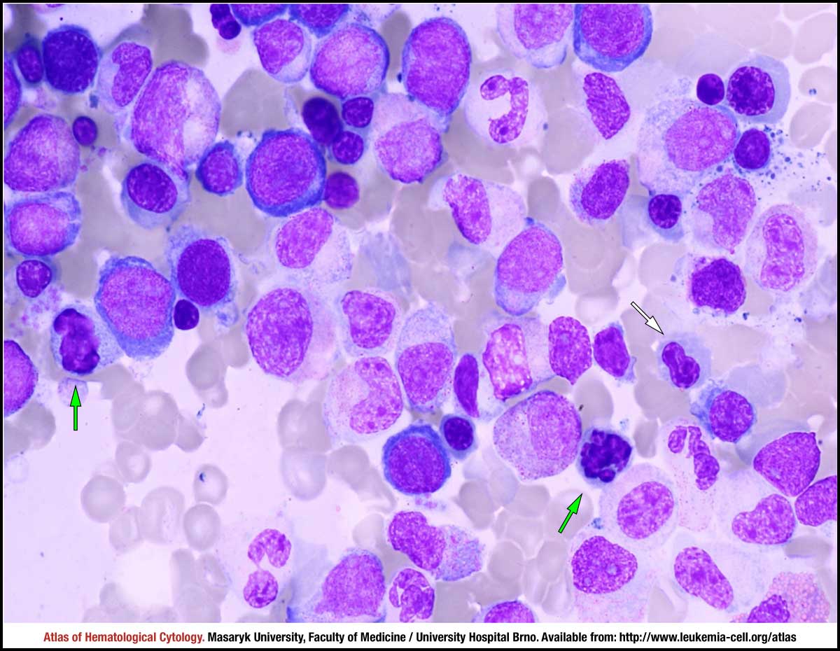
BM MGG (1000×)

Marrow aspirate smear: three dysplastic erythroblasts (green arrows) with dehaemoglobinised cytoplasm; out of these, the cell on the left has a pyknotic nucleus. Many granulocytes (yellow arrows) are slightly macrocytic and with hypogranularity of cytoplasm. A promegakaryocyte is also shown in the image (black arrow).

BM MGG (1000×)

Marrow aspirate smear: there are many hypogranular granulocytes which are slightly macrocytic. Erythroblasts with karyorrhexis (green arrows) and one erytroblast with an abnormal shape of nucleus (white arrow) are indicators of dyserythropoiesis.

BM MPO (1000×)

Myeloperoxidase-stained marrow aspirate smear with two neutrophils with decreased numbers or lack of myeloperoxidase granules: this abnormality is an indicator of dysgranulopoiesis.

BM iron stain (1000×)

Iron-stained marrow aspirate smear with many ringed sideroblasts (green arrows), which are indicators of dyserythropoiesis.

G-banded male karyotype with monosomy 5

G-banded karyotype of a bone marrow metaphase cell with karyotype 45,XY,-5. The missing chromosome 5 is indicated by a red arrow.

Fluorescence in situ hybridisation (FISH) of monosomy 5

Fluorescence in situ hybridisation (FISH) of monosomy 5 performed on (A) metaphase chromosomes and (B) an interphase cell. The orange-labelled probe indicates the chromosomal region 5q31.2 (red arrows), whereas the green-labelled probe covers the region 5p15.2->p15.3 (green arrows). Only one orange signal and one green signal indicate monosomy 5 in metaphase chromosomes and in the interphase cell.

G-banded male karyotype of monosomy 7

G-banded karyotype of a bone marrow metaphase cell with karyotype 45,XY,-7. The missing chromosome 7 is indicated by a red arrow.

Fluorescence in situ hybridisation (FISH) of monosomy 7

Fluorescence in situ hybridisation (FISH) of monosomy 7 performed on (A, C) metaphase chromosomes and (B) an interphase cell. The orange-labelled probe indicates the chromosomal region 7q22 (red arrows), the green-labelled probe covers region 7q31 (green arrows) and the aqua-labelled probe hybridises to the centromeric region of chromosome 7 (blue arrows). One green signal, one orange signal and one aqua signal indicate monosomy 7 in metaphase chromosomes and in the interphase cell.

Atlas of Haematological Cytology [online]. 2016 [cit. 2025-12-13]. Available from WWW: http://www.leukemia-cell.org/atlas.

2025 CELL - Atlas of Haematological Cytology | site map