with flowcytometry, cytogenetic and molecular biology findings
Novartis IBA FM MU

Chronic myeloid leukaemia (CML), BCR-ABL1 positive: accelerated phase

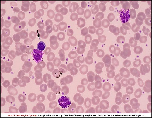
PB MGG (1000×)

Three basophilic granulocytes (unmarked cells) and a lymphocyte (black arrow).

BM MGG (200×)

The marrow aspirate smear is moderately rich in cells and all developmental stages of granulopoiesis are present. The number of eosinophils is increased. Two dysplastic megakaryocytes with hypolobulated nuclei are marked by black arrows.

BM MGG (1000×)

Two large myeloid blasts without granules are marked by green arrows. Furthermore, from developmental stages of granulopoiesis, the image shows a promyelocyte entirely without granules (red arrow), two metamyelocytes (yellow arrows; the bottom one is megaloblastoid) and four segmented neutrophils (unmarked cells). Two basophilic granulocytes shown in the image (cyan arrows) are dysplastic: their granulation is decreased and the segmentation of their nuclei is atypically decreased, too. A polychromatophilic erythroblast (black arrow) is also atypical, showing a non-round, slightly megaloblastoid nucleus, and dehaemoglobinised cytoplasm.

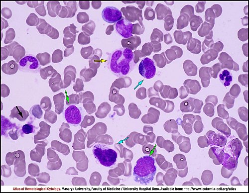
BM MGG (1000×)

Two large myeloid blasts without granules are again marked by green arrows: the upper one is almost without cytoplasm, whereas cytoplasm of the lower one shows vacuolation. A metamyelocyte (yellow arrow) is markedly megaloblastoid. Less mature basophilic granulocytes shown in the image (cyan arrows) are again atypical. A micromegakaryocyte is marked by a black arrow.

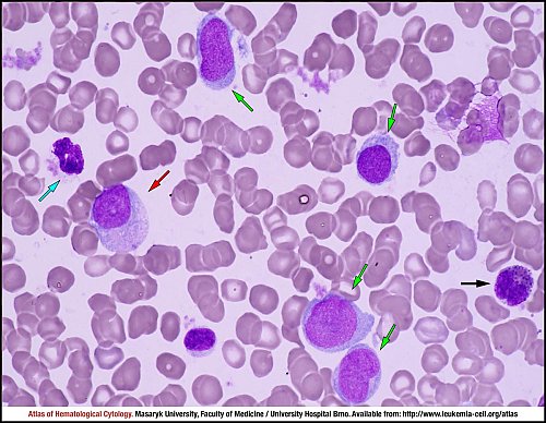
BM MGG (1000×)

Myeloid blasts of different sizes are marked by green arrows. From developmental stages of granulopoiesis, the image shows a promyelocyte (red arrow) entirely without granules, a mature basophilic granulocyte (cyan arrow) and an atypical eosinophilic metamyelocyte with basophilic progranules (black arrow).

Atlas of Haematological Cytology [online]. 2016 [cit. 2026-4-11]. Available from WWW: http://www.leukemia-cell.org/atlas.

2026 CELL - Atlas of Haematological Cytology | site map