with flowcytometry, cytogenetic and molecular biology findings
Novartis IBA FM MU

Prefibrotic/early primary myelofibrosis

PB MGG (200×)

Peripheral blood smear with a normal differential white cell count.

BM MGG (200×)

The marrow aspirate smear is hypercellular with an increasing number of megakaryocytes (six cells on the photograph).

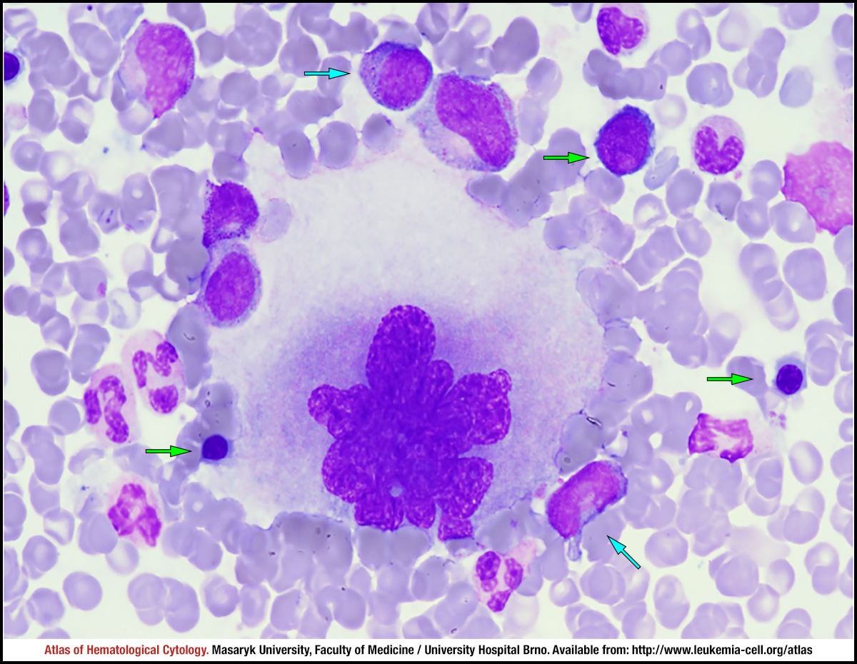
BM MGG (1000×)

In this marrow aspirate smear, one megakaryocyte is enlarged with bulbous nuclei and abnormal chromatin patterns of chromatin clumping. There are three erythroid precursors (green arrows), a few granulocytes and two granular and agranular myeloblasts (blue arrows).

BM HE (40×)

Primary myelofibrosis, early fibrosis. 65-year old woman, leucocytosis 12×109/L, thrombocytosis 1,000×109/L, JAK2 mutated.  Hypercellular haematopoiesis.

Bone marrow trephine biopsy, haematoxylin and eosin stain.

BM HE (200×)

Primary myelofibrosis, early fibrosis. 65-year old woman, leucocytosis 12×109/L, thrombocytosis 1,000×109/L, JAK2 mutated.  Trilinear myeloproliferation with a conspicuous increase of megakaryopoiesis.

Bone marrow trephine biopsy, haematoxylin and eosin stain.

BM HE (400×)

Primary myelofibrosis, early fibrosis. 65-year old woman, leucocytosis 12×109/L, thrombocytosis 1,000×109/L, JAK2 mutated.  Megakaryocytes are forming dense, “cohesive” clusters. Enlarged cells often have hypolobated, “cloud-like” nuclei and variable staining of cytoplasm.

Bone marrow trephine biopsy, haematoxylin and eosin stain.

BM Gomori silver impregnation (200×)

Primary myelofibrosis, early fibrosis. 65-year old woman, leucocytosis 12×109/L, thrombocytosis 1,000×109/L, JAK2 mutated.  Fine reticulin fibrosis (MF-1 according to the EUMNET classification).

Bone marrow trephine biopsy, Gomori silver impregnation stain.

Atlas of Haematological Cytology [online]. 2016 [cit. 2026-4-29]. Available from WWW: http://www.leukemia-cell.org/atlas.

2026 CELL - Atlas of Haematological Cytology | site map