with flowcytometry, cytogenetic and molecular biology findings
Novartis IBA FM MU

Vitamin B12 deficiency

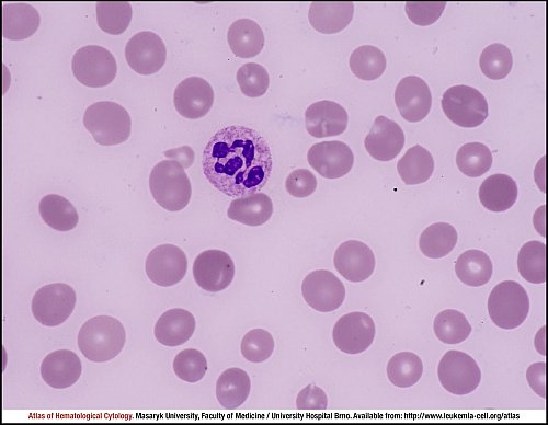
PB MGG (1000×)

Macrocytosis of erythrocytes, numerous ovalocytes, sporadically spherocytes. A hypersegmented neutrophil is shown in the centre of the image – a finding typical for this diagnosis.

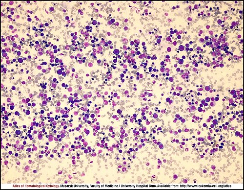
BM MGG (200×)

The typically “blue” marrow is indicative of the presence of less mature erythroblasts; on the whole, erythropoiesis predominates in this smear.

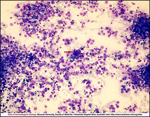
BM MGG (200×)

This smear shows a typically “blue” marrow, haematopoiesis is more often present in clusters, less mature erythroblasts are shown as marked megaloblasts. A large hypersegmented megakaryocyte is marked by a red arrow, and close to it (left bottom) is a macrophage with bluish cytoplasm, probably a siderophage.

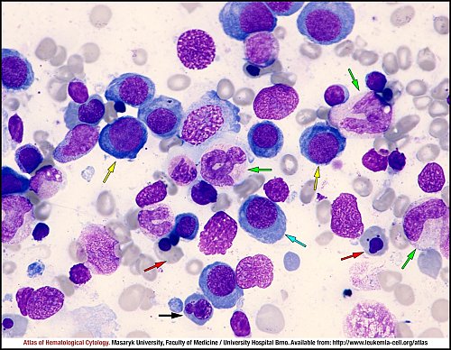
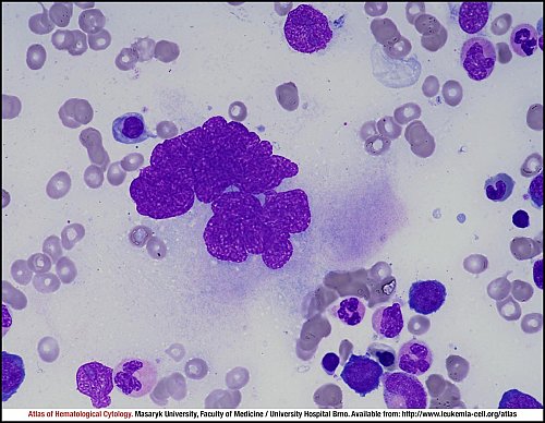
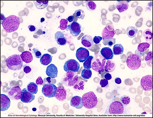
BM MGG (1000×)

A large hypersegmented megakaryocyte is shown in the centre of the image, with typically extended chromatin.

BM MGG (1000×)

Almost the entire erythropoiesis is of megaloblastic character: the image shows proerythroblasts (yellow arrows), a basophilic erythroblast (blue arrow), a polychromatophilic erythroblast (black arrow), an orthochromatophilic erythroblast (red arrow), and megaloblastically altered neutrophilic metamyelocytes (green arrows).

BM MGG (1000×)

Almost the entire erythropoiesis is of megaloblastic character (see also the preceding image). Megaloblastically altered erythroblasts and neutrophils are shown in particular.

Atlas of Haematological Cytology [online]. 2016 [cit. 2026-4-11]. Available from WWW: http://www.leukemia-cell.org/atlas.

2026 CELL - Atlas of Haematological Cytology | site map