with flowcytometry, cytogenetic and molecular biology findings
Novartis IBA FM MU

Paroxysmal nocturnal haemoglobinuria

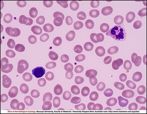
PB MGG (1000×)

Mild anisocytosis, sporadically ovalocytes and dacrocytes, a lymphocyte on the left and a segmented neutrophil on the right.

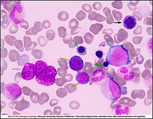
BM MGG (1000×)

Basophilic erythroblasts are marked by yellow arrows, a proerythroblast is marked by a cyan arrow, and oxyphilic erythroblasts (with slightly disrupted contour of cytoplasm) are marked by green arrows. A karyorrhectic figure of an erythroblast is marked by a black arrow, and a bare nucleus of a megakaryocyte is marked by a white arrow. The unmarked nuclear elements are degranulated granulocytes.

Atlas of Haematological Cytology [online]. 2016 [cit. 2026-4-11]. Available from WWW: http://www.leukemia-cell.org/atlas.

2026 CELL - Atlas of Haematological Cytology | site map