with flowcytometry, cytogenetic and molecular biology findings
Novartis IBA FM MU

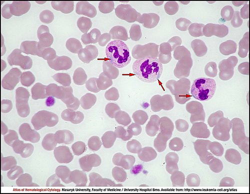
May–Hegglin anomaly

PB MGG (1000×)

The three nucleated cells are segmented neutrophils. This congenital thrombocytopenia is characterised by spindle-shaped Döhle bodies (marked by red arrows) and by macrothrombocytes (shown in the bottom left part of the image).

Atlas of Haematological Cytology [online]. 2016 [cit. 2026-4-11]. Available from WWW: http://www.leukemia-cell.org/atlas.

2026 CELL - Atlas of Haematological Cytology | site map