with flowcytometry, cytogenetic and molecular biology findings
Novartis IBA FM MU

B-lymphoblastic leukaemia/lymphoma, not otherwise specified

BM MGG (1000×)

Several larger blasts with a high nuclear-cytoplasmic ratio. The nuclei are irregular and chromatin is rather homogeneous, with one or more variably prominent nucleoli. There is a small amount of medium basophilic cytoplasm, which is occasionally vacuolated.

BM MPO (1000×)

Lymphoblasts are MPO-negative.

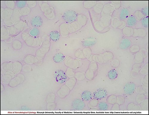
BM PAS (1000×)

A coarse granular or flocculent pattern of PAS positivity is typical of B-lineage ALL.

BM flow cytometry

Analysis of a bone marrow sample – colour marking of individual populations: leukaemic B blasts (purple), T lymphocytes (blue), all lymphocytes (green), monocytes (yellow) and granulocytes (red).

Leukaemic B blasts are characterised by a low value of side scatter (SSC) and a low expression of CD45 (A), as well as by positivity for CD10, CD19, CD34 and cytoplasmic CD79a; moreover, they display negativity for CD20, immunoglobulin light chains Lambda and Kappa and an aberrant expression of CD66c (B–F).

Atlas of Haematological Cytology [online]. 2016 [cit. 2025-12-21]. Available from WWW: http://www.leukemia-cell.org/atlas.

2025 CELL - Atlas of Haematological Cytology | site map